Učinak suplementacije vitaminom D na progresiju bolova u koljenu i gubitak hrskavice u pacijenata sa simptomatskim osteoartritisom
OGLAS
|
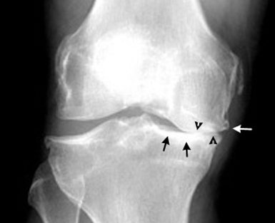
Osteoartritis koljena ili gonartroza je poremećaj hrskavice i periartikularne kosti koljena za koji ne postoji učinkovito medikamentozno liječenje. Neka istraživanja su sugerirala kako bi dodatak vitamina D u prehranu mogao pomoći u redukciji progresije ovog stanja, a istraživači s medicinskog centra Tufts u Bostonu su u studiji koja je objavljena u časopisu JAMA od 9. siječnja 2013 testirali ovu tezu. Randomizirana, placebo-kontrolirana, dvostruko slijepa studija koja je uključivala 146 ispitanika sa simptomatskim osteoartritisom koljena (srednja životna doba 62,4 god., 61% žena, 79% bjelačka populacija) provođena je u razdoblju između ožujka 2006. i lipnja 2009. godine. Ispitanici su podijeljeni u dvije skupine; jedni su primali placebo, dok su drugi primali 2000 IU na dan kolekalciferola peroralno kako bi se serumska doza povisila na više od 36 ng/mL. Glavni praćeni rezultati bili su bolnost koljena (WOMAC skala) i gubitak zglobne hrskavice mjereno magnetskom rezonancijom. Sekundarni rezultati mjerenja bili su: tjelesna funkcija, funkcija koljena (WOMAC skala funkcije), debljina hrskavice, lezije koštane srži te debljina zglobnog prostora. U konačnici je 85% pacijenata dovršilo tretman – u placebo grupi razina serumskog vitamina D povisila se za 2,1ng/mL, dok se u suplementiranoj grupi povisila za 16,1 ng/mL. Bol u koljenu na početku ispitivanja bila je blago lošija u suplementiranoj grupi, dok je funkcija koljena bila značajno lošija u suplementiranoj u odnosu na placebo grupu. Bol u koljenu se smanjila u obje grupe, pri čemu je smanjenje bilo nešto izraženije u suplementiranoj (-2,31), nego u placebo grupi (-1,46). Gubitak hrskavice nakon razdoblja praćenja bio je podjednak u obje grupe. Nije bilo razlike ni u jednom od sekundarnih rezultata mjerenja. Na temelju navedenog može se zaključiti kako suplementacija vitaminom D u razdoblju od dvije godine, koja povisuje serumsku razinu vitamina D do 36 ng/mL, ne smanjuje značajno bol u koljenu ili gubitak zglobne hrskavice. |
Vitamin D slabo učinkovit kod osteoartritisa koljena
|








