Antimikrobna profilaksa za djecu s vezikoureteralnim refluksom
OGLAS
|
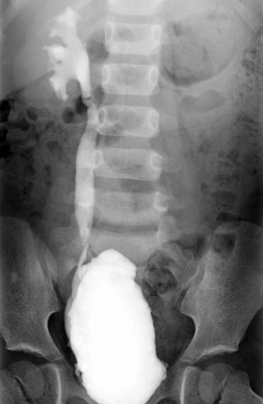
Djeca koja prebole febrilnu uroinfekciju, čestu u podlozi, imaju vezikoureteralni refluks. Pitanje opravdanosti antimikrobne profilakse kod djece s potvrđenim VUR-om nije potpuno razjašnjeno. New England Journal of Medicine u broju od 19. lipnja 2014. godine donosi rezultate multicentrične randomizirane placebo-kontrolirane studije 607 djece s VUR-om koji je dijagnosticiran nakon prve ili druge simptomatske uroinfekcije. Ispitanici su bili podijeljeni u dvije skupine – prva u kojoj je provedena profilaksa trimetoprim-sulfometoksazolom i druga u kojoj su ispitanici primali placebo. Primarni ishod koji je praćen bila je pojava recidiva, dok su sekundarni ishodi bili ožiljčenje bubrega, neuspjeh liječenja (istodobna pojava ožiljčenja bubrega i recidivnih infekcija) te antimikrobna rezistencija. U konačnici su rezultati pokazali kako je profilaksa smanjila stopu recidiva za 50% te kako je bila posebno učinkovita kod djece koja su inicijalno imala febrilnu uroinfekciju i koja su imala neki oblik disfunkcije mokraćnog mjehura ili crijeva. Učestalost ožiljčenja bubrega ipak nije bila značajano različita (11,9% u grupi na profilaksi i 10,2% u grupi na placebo). Veća antimikrobna rezistencija je utvrđena u grupi ispitanika koji su primali profilaksu što se manifestiralo time da je u grupi na profilaksi uzročnik recidivne uroinfekcije u 63% slučajeva bila E. coli rezisentna na trimetoprimsulfometoksazol, dok je u skupini na placebu učestalost bila 19%. Prema ovim podacima autori zaključuju kako je profilaksa uroinfekcija kod djece s VUR-om učinkovita u sprečavanju pojave novih uroinfekcija, ali ne i u prevenciji ožiljčenja bubrega. |
Kolor cistogram abdomena djeteta s bilateralnim vezikoureteralnim refluksom |








